11125#

患者信息#

  • 记录日期:2025.01.18
  • 出生年份:1959
  • 性别:
  • 省份:
  • 症状:
  • 诊断日期:
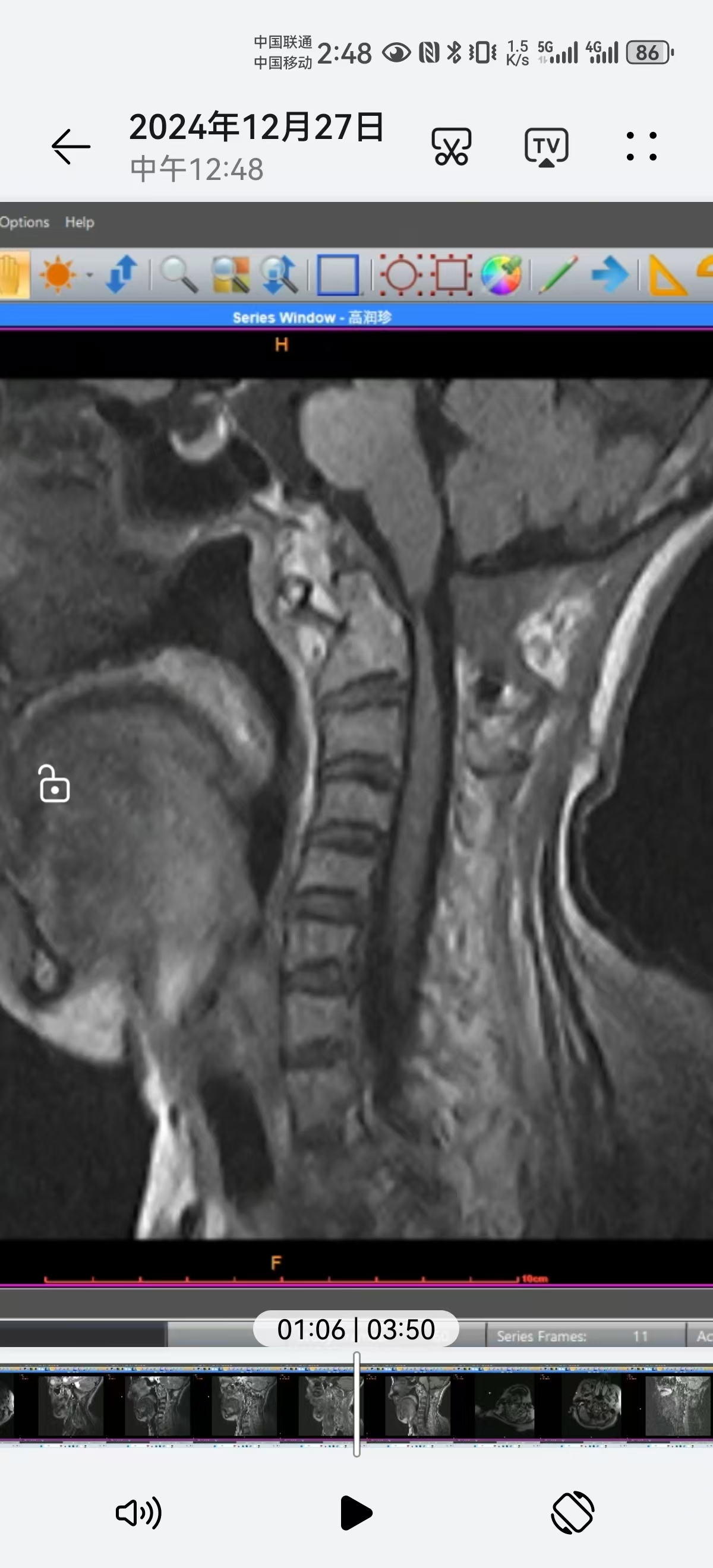
  • 诊断:寰枢椎脱位
  • 影像:

手术#

  • 日期:2024.08.11

  • 医院:宣武医院

  • 主刀:陈赞

  • 费用:

  • 术后状况:术后症状加重,不能下床

  • 术后影像:

康复记录:

  • 术后4个月,在天坛拍0.23低磁场核磁




本站所有作品均采用知识共享署名-非商业性使用-禁止演绎 3.0 中国大陆许可协议进行许可。