11111#

患者信息#

  • 记录日期:2024.11.26

  • 出生年份:1992

  • 性别:男

  • 省份:四川

  • 症状:无症状

  • 诊断日期:2024.06.04

  • 诊断:寰枢椎脱位、颅底凹陷、小脑下疝、脊髓空洞

  • 影像:

手术#

  • 日期:2024.06

  • 医院:宜宾二医院

  • 主刀:黄思庆徒弟

  • 费用:自费1.6w

  • 术后状况:

  • 术后影像:

康复记录:

  • 10多天下床,术后10多天感觉症状还在。

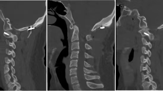
  • 2024.10.30,在宜宾二医院复查,螺钉脱离。类似喝醉的头晕,走路不稳,左手力量和灵活度下降,影像如下:

二次手术#

  • 日期:2024.11.23

  • 医院:湘雅三

  • 主刀:李劲松

  • 费用:自费1.6w

  • 术后影像:

康复记录:

  • 第二天下床,术后15天,头不晕了,走路稳了,左手力量和灵活度稍有好转。



本站所有作品均采用知识共享署名-非商业性使用-禁止演绎 3.0 中国大陆许可协议进行许可。