11119#

患者信息#

  • 记录日期:2024.12.13

  • 出生年份:1970

  • 性别:女

  • 省份:

  • 症状:颈重,肩重,肩甲骨经常火辣辣的,头前伸寰枢椎那会嘎嘎响

  • 诊断日期:

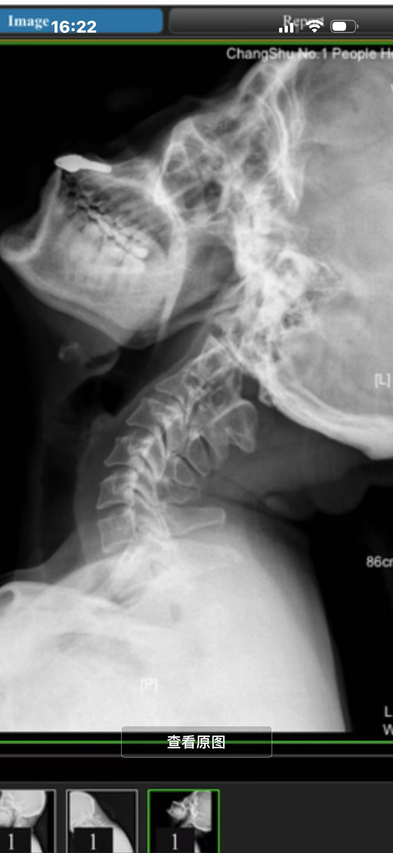
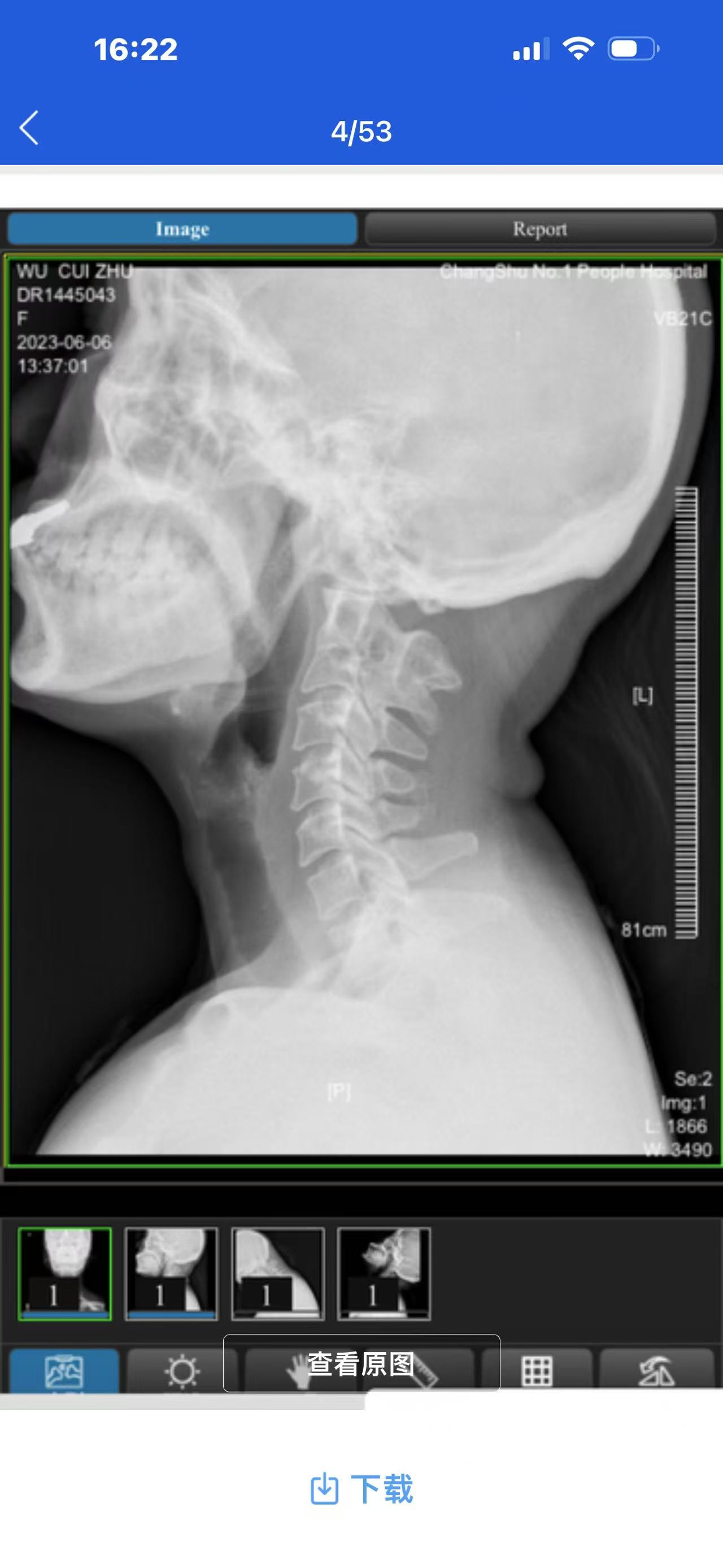
  • 诊断:寰枢椎脱位,颅底凹陷

  • 影像:

手术#

  • 日期:2023.09

  • 医院:北三医院

  • 主刀:王超

  • 费用:

  • 术后状况:偶尔会肩甲骨酸,坐下就不酸

  • 术后影像:

康复记录:

  • 2024.02.27,复查,对位良好,偶尔会肩甲骨酸,坐下就不酸。

  • 2024.10.20,复查,对位良好,偶尔会肩甲骨酸,坐下就不酸。




本站所有作品均采用知识共享署名-非商业性使用-禁止演绎 3.0 中国大陆许可协议进行许可。