11120#

患者信息#

  • 记录日期:2024.12.15
  • 出生年份:1961
  • 性别:男
  • 省份:
  • 症状:
  • 诊断日期:
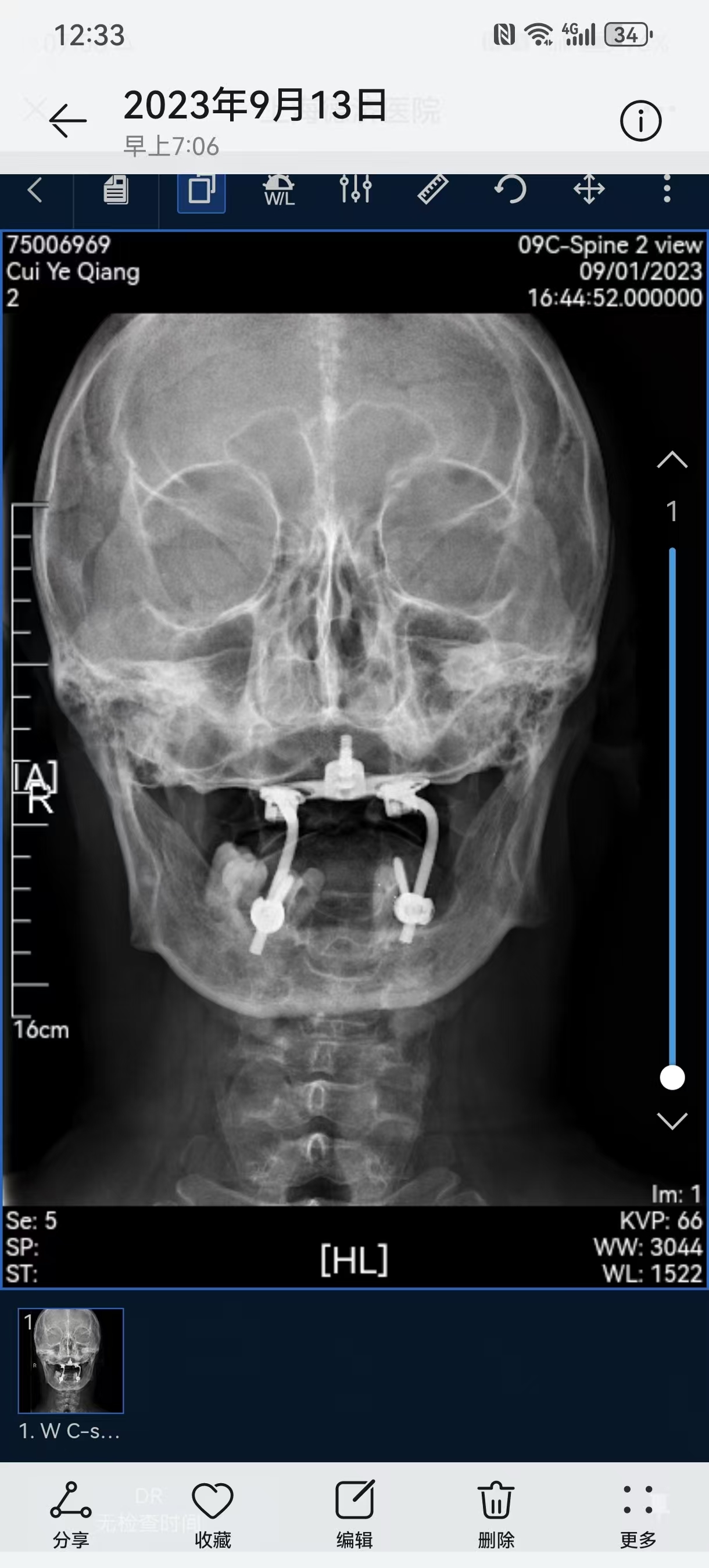
  • 诊断:寰枢椎脱位,颅底凹陷
  • 影像:

手术#

  • 日期:2013
  • 医院:上海长征医院
  • 主刀:史建刚
  • 费用:
  • 术后状况:
  • 术后影像:

二次手术#

  • 日期:2021
  • 医院:上海长征医院
  • 主刀:史建刚
  • 费用:
  • 术后状况:
  • 术后影像:

康复记录:

  • 2023.09.01,复查,压迫脊髓。

三次手术#

  • 日期:2023.11
  • 医院:北三医院
  • 主刀:王超
  • 费用:
  • 术后状况:
  • 术后影像:

康复记录:

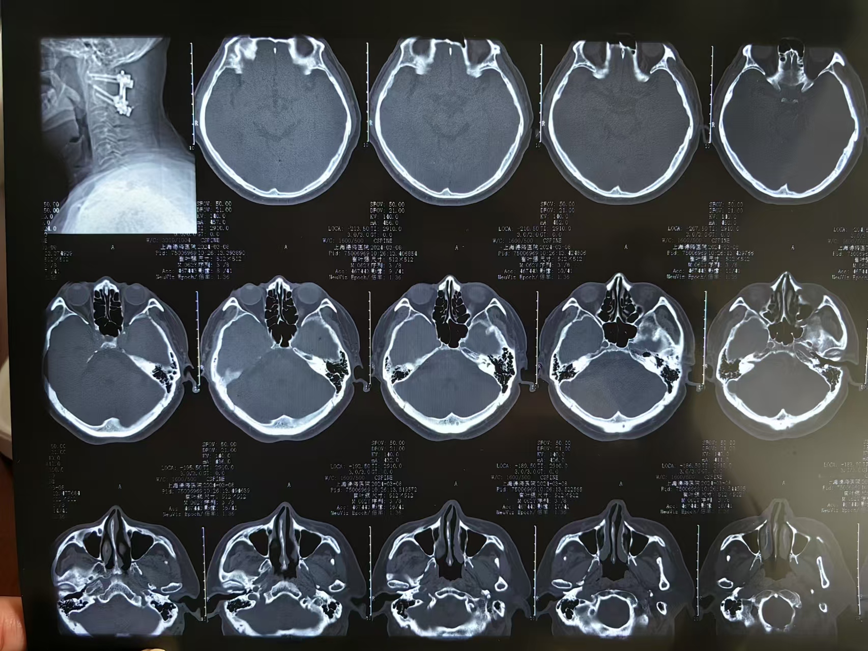
  • 2024.03.09,复查,对位良好,但术前症状难以恢复。




本站所有作品均采用知识共享署名-非商业性使用-禁止演绎 3.0 中国大陆许可协议进行许可。