11124#

患者信息#

  • 记录日期:2025.01.18

  • 出生年份:

  • 性别:男

  • 省份:河北

  • 症状:

  • 诊断日期:

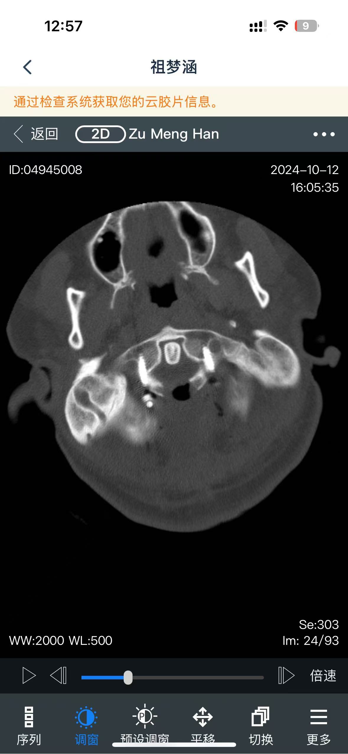
  • 诊断:寰枢椎脱位

  • 影像:

手术#

  • 日期:2024.10.11

  • 医院:宣武医院

  • 主刀:关键

  • 费用:

  • 术后状况:术前患者同意不放融合器,术中切了后宫,术后复位还不错

  • 术后影像:

康复记录:




本站所有作品均采用知识共享署名-非商业性使用-禁止演绎 3.0 中国大陆许可协议进行许可。